米兰·网站

米兰·网站 行业资讯 政策法规 产业市场 节能技术 能源信息 宏观环境 会议会展 活动图库 资料下载 焦点专题 智囊团 企业库
宏观环境  节能产业网 >> 宏观环境 >> 商业资讯 >> 正文
烯旺科技用十数项临床实验证实:石墨烯对多种疾病疗效确切!
来源:节能产业网 时间:2020/7/16 15:32:23 用手机浏览

——烯旺科技在医疗领域5年耕耘,带领石墨烯走向新高度

烯旺科技:用行动打破质疑

自2010年获得诺贝尔物理学奖以来,石墨烯的热度一直居高不下,以至于市面上出现了很多无良商家打着石墨烯的名义,但实际上生产的是石墨烯含量极低或没有的产品。比如石墨烯内裤,某商家宣称其可消炎杀菌,修复松弛,极尽夸大宣传之辞,使得消费者对真正的石墨烯产品医疗功效存在质疑。

石墨烯在生物医疗领域一直被视为引发下一次医疗革命的关键。但长期以来,受限于石墨烯制备的技术门槛和长周期的临床验证,以及高昂的研发、生产、人力和资源成本,石墨烯在生物医疗领域的应用始终未能取得明显进展,直到2019。

去年4月,烯旺科技在无锡召开的医疗战略研讨会上首次对外宣布石墨烯医疗和科研成果,包括数个医疗难题的攻克成果及最新石墨烯医疗产品。9月9日,凭借专业的医疗科研团队及强劲的产品研发实力,烯旺科技的医疗器械产品热垫式治疗仪正式获得中国医疗器械注册证书(编号:粤械注准20192090979),成为国内首家取得医疗资质石墨烯企业。

烯旺科技多篇石墨烯医学论文在国内外权威医学杂志发表

在生物医疗领域的研究上,烯旺科技深知石墨烯对人类的健康大有可为,率先在行业内组建了实力雄厚的石墨烯医疗研究中心、未来产品研究院,与深圳清华大学研究院、南京医科大学、北京301医院、空军军医大学、西京医院、广东省中医院等三甲医院、科研机构建立了深度合作,开展了16项临床实验,并取得了令人瞩目的成果,多篇医学论文在国内外权威医学杂志发表。以下是烯旺科技石墨烯医疗成果高能合集:

治疗慢性腰腿痛的临床实验:

纯石墨烯护腰、护膝针对慢性腰腿痛愈显率达87.8%。

“纯石墨烯远红外发热护腰、护膝贴敷在减轻疼痛,改善症状方面有显著效果。贴敷配合针刺治疗慢性腰腿痛,可以明显提高慢性腰腿痛的治愈率,特别是对那些用针刺起效慢的慢性患者,或针刺后仍反复发作的患者起到辅助的治疗作用,能促进尽快疫愈。其愈显率为87. 8%,疗效确切,效果明显。”

——论文发表于《中华针灸电子杂志》2019年8月第8卷第3期

研究中还发现多个癌症患者,佩戴纯石墨烯发热护腰、护膝得到较好的临床效果,比如缓解疼痛、促进夜间睡眠、提高生命质量等。可提升癌症患者的低体温,增强免疫防御能,与促进癌症患者康复的确切关系,还有待后续进一步研究。

图为烯旺科技研制的热垫式治疗仪 [ 护腰 ]

治疗寒湿凝滞型痛经临床实验:

该实验发现石墨烯温热疗法对寒湿凝滞型痛经患者临床症状及其伴随症状效果确切。

“使用石墨烯护腹腰带缓解寒湿凝滞型痛经患者临床症状及其伴随症状效果确切。分析认为石墨烯护腹带能够直接作用于腹部,一方面可通过温热刺激使局部皮肤温度升高,皮肤下血管扩张,血流加快,发挥温热散寒的作用。温热作用本身也能刺激下腹部的经脉、腧穴,此部位的气海、关元等穴位都是临床治疗痛经病的常用穴。”

另一方面“其发射的远红外波振动频率与人体内细胞分子的振动频率接近,通过体内分子共振产生热能,引起温度升高,促进血液循环特别是微循环加速,改善供氧状态,加强细胞再生能力,消除疲劳,提高机体免疫力,发挥宁神镇痛的作用。”

该法为痛经的治疗提供了一种新途径,无创伤,无毒副作用,避免患者对艾灸艾烟难闻、针刺恐惧、西药的毒副作,值得进一步发展和推广。

——论文发表在国际权威医学杂志《MEDICINAL PLANT》2018年10月第9卷

烯旺科技医疗成果登上国际权威

医学杂志《Medicinal Plant》

治疗甲状腺结节的临床实验:

该实验结果显示石墨烯温热疗法治疗良性甲状腺结节的临床研究效果明显。

在世界公认的难题甲状腺结节的治疗上,保定市第一中心医院采用烯旺科技生产的石墨烯护颈带治疗甲状腺结节,将远红外线治疗与热疗有机结合。

研究结果显示:“经过120天的治疗后,治疗组甲状腺结节最大横截面直径、最大横截面面积明显缩小,表明石墨烯热疗对良性甲状腺结节有良好的治疗效果,并且对甲状腺功能无明显影响。”

——论文发表在国内权威医学杂志《中国医学物理杂志》2019年4月第4期。

图为烯旺科技纯石墨烯发热颈部养护仪

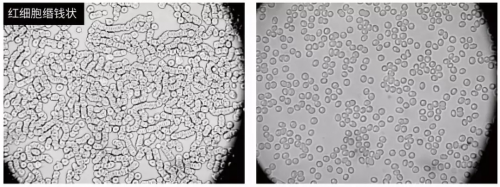
关于石墨烯远红外能量房的研究:

石墨烯远红外能量房预防心脑血管意外,提升针灸的临床疗效,辅助康复治疗。

“采用石墨烯远红外光波房照射手段,解决人体红细胞缗钱状排列的问题。对缗钱状红细胞排列的改善有利于预防血栓性疾病、预防血液粘度增高、预防心脑血管疾病等意外事件发生,也体现中医在预防保健“治未病”的重大意义。”

——论文发表在《全国第十七届红外加热暨红外医学发展研讨会论文集》

河北省名中医任慧雅教授认为,石墨烯能量房能发射接近人体细胞固有频率的远红外线,产生同频共振、高效传能,激活细胞生理机能,从细胞层面强化机体能量代谢,快速改善人体微循环,提升机体免疫功能。在中医康复领域,能量房可大幅提升传统针灸的临床疗效,肿瘤术后可辅助康复治疗。

使用石墨烯远红外能量房前后红细胞缗钱状态的对比

正在进行中的医疗试验

1. 石墨烯-无烟艾灸组的临床综合疗效研究:石墨烯组在改善腰椎疼痛程度。

2. 石墨烯-中医经络穴位针灸研究:石墨烯远红外在减轻疼痛、消炎消肿方面效果。

3. 石墨烯热疗促进微循环和提升免疫力的实验研究

4. 石墨烯热疗对中风病人康复作用的研究

5. 石墨烯热疗对过敏性鼻炎治疗作用的临床研究

6. 石墨烯热疗对慢性伤口愈合的临床研究

……

烯旺科技在石墨烯生物医疗领域取得的成果已实现石墨烯医疗零的突破,未来,烯旺科技将继续发掘石墨烯巨大的医疗价值,为中国的医疗事业做出更多贡献,造福更多医院和患者。



分享到:
米兰·网站相关的文章 iTAG:
没有米兰·网站相关的文章
频道推荐
服务中心
微信公众号

CESI
关于本站
版权声明
广告投放
网站帮助
米兰·网站-米兰MiLan(中国)
网站服务
会员服务
最新项目
资金服务
园区招商
展会合作
节能产业网是以互联网+节能为核心构建的线上线下相结合的一站式节能服务平台。
©2007-2020 CHINA-ESI.COM

节能QQ群:39847109
顶部微信二维码底部
扫描二维码关注官方公众微信